Sarcomul lui Ewing

Sarcomul lui Ewing

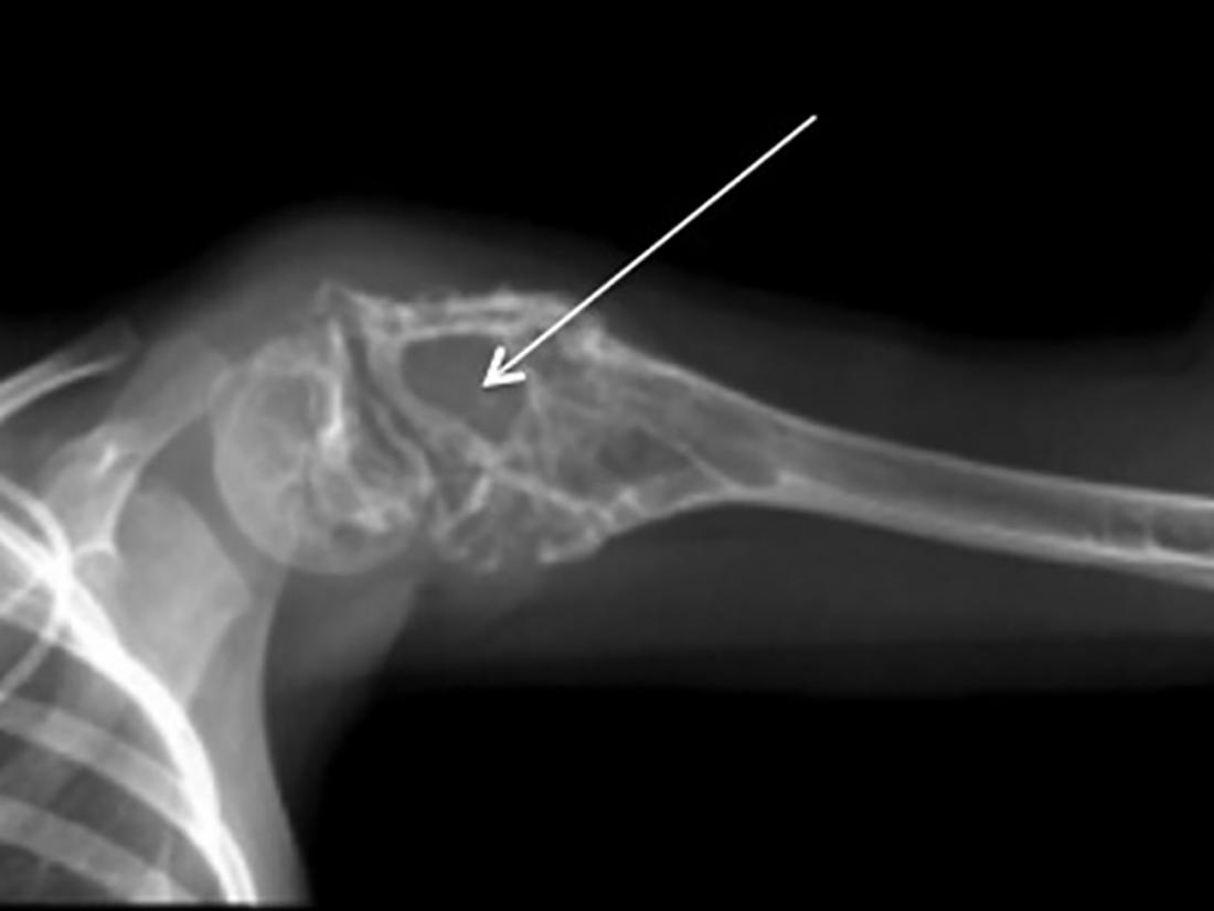
Sarcomul lui Ewing este o formă rară de cancer osos, care apare mai frecvent între vârstele de 10-15 ani.

Fiind localizat adesea la nivelul oaselor picioarelor, poate reflecta o teamă profundă de a avansa în viață. Mă tem că nu am resursele necesare pentru a face față provocărilor vieții.

Corpul meu exprimă această nesiguranță prin durere intensă, semn al fricii mele de a mă integra în lumea adulților.

Acceptare

Accept să am încredere în viață, știind că aceasta îmi va oferi oportunitățile de care am nevoie pentru a mă adapta și a trăi în societate.

august 23, 2024
Was this article helpful?

Lasă un răspuns

Adresa ta de email nu va fi publicată. Câmpurile obligatorii sunt marcate cu *

Plantageneti