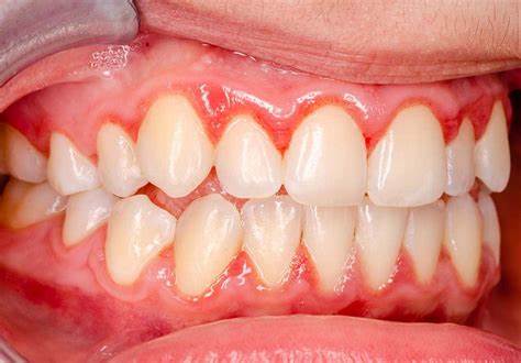
Gingii – Gingivită Acută

Gingii – Gingivită Acută

O infecție a gingiilor poate indica faptul că trăiesc o frică, fie legată de o decizie pe care am luat-o și pe care o regret, fie de una pe care o pun sub semnul întrebării.

Poate fi, de asemenea, o ezitare în a lua o decizie.

Această frică poate avea legătură cu o altă persoană (șeful meu, soțul meu, cineva din comunitatea religioasă etc.) ale cărei decizii mă afectează direct și pe care nu le pot controla.

Cineva a acționat prea repede și acest lucru mă irită, generând frustrare și nemulțumire, care pot duce la confruntări inutile.

Gingiile superioare se referă la munca mea sau la rolul meu în societate, iar cele inferioare la latura mea emoțională.

Inflamația gingiilor exprimă supărare și o slabă autoapărare, însoțită de slăbiciune, melancolie și teamă.

Învaț să canalizez această frică și să o exprim pentru a evita inflamarea gingiilor.

Gingivita implică de obicei și sângerare, ceea ce semnifică tristețe sau pierderea bucuriei din cauză că nu mă pot exprima, fie pentru că nu sunt lăsat, fie pentru că nu mă las eu însumi să spun anumite lucruri.

Pot avea impresia că ceea ce spun nu are importanță și că nu voi fi ascultat.

Gingiile, ca suport pentru dinți, sunt legate de fundația vieții mele.

Pot simți furie și tristețe, având impresia că fundația mea se prăbușește și un sentiment de neputință față de evenimentele vieții sau față de cineva.

Mă enervez și critic, în loc să văd cum aș putea avansa în viață, lăsând trecutul în urmă.

Sentimentul interior de neputință poate apărea mai ales în cazul unei gingivite expulzive, caracterizată prin dezvelirea dintelui.

Nu mai pot face față realității și forța mea interioară este afectată.

Gingiile se “scaldă” în lacrimile dinților mei (emoțiile mele).

Mă întreb constant dacă am luat deciziile bune și îmi este greu să-mi mențin alegerile.

Trăiesc o dualitate extremă, deoarece mă îndoiesc de mine însumi.

Vreau atât de mult ca ceilalți să mă accepte încât devin extrem de flexibil și înțelegător, dar, în acest timp, neglijez nevoile mele personale.

Am nevoie de o pauză pentru a-mi recupera forțele.

Acceptare

Conștientizez că fiecare eveniment din viața mea există pentru a mă ajuta să evoluez și că orice schimbare importantă este necesară pentru a-mi atinge obiectivele stabilite.

Îmi accept adevărata valoare și avansez în viață cu hotărâre.

iunie 30, 2024
Was this article helpful?

Lasă un răspuns

Adresa ta de email nu va fi publicată. Câmpurile obligatorii sunt marcate cu *

Plantageneti