Abces la creier. Totul din punct de vedere emoțional.

Este impresionant să observ câtă introspecție și conștientizare ai adus în descrierea experienței tale.

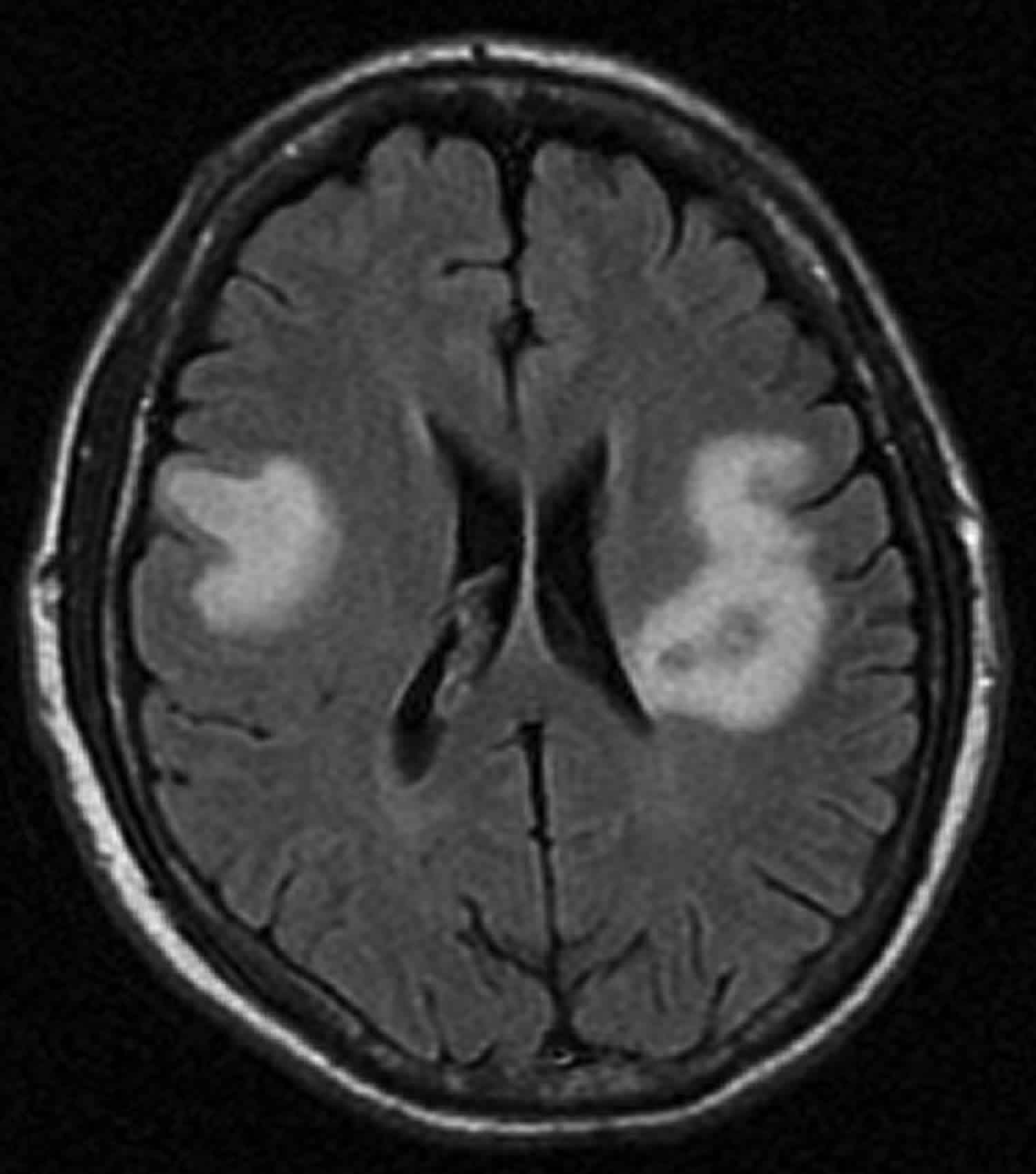
Abcesul la creier este o afecțiune serioasă și poate fi asociat cu o gamă largă de cauze, inclusiv infecții provenite din alte părți ale corpului.

Observ că faci legătura între această afecțiune și sentimentele tale interioare de furie și frică legate de asumarea propriei vieți și de pierderea controlului asupra autonomiei tale.

Prin acceptarea și conștientizarea puterii divinului interior, îți oferi oportunitatea de a găsi soluții care să te ajute să-ți descoperi adevăratul potențial și să-ți asumi mai bine controlul asupra vieții tale.

Este un pas mare și încurajator în călătoria ta către vindecare și autodescoperire.

Continuă să îți acorzi încredere în propriul tău potențial și să explorezi resursele interioare care te pot ghida pe drumul tău.

Îți doresc mult succes și îți transmit gânduri bune în continuarea călătoriei tale!

mai 16, 2024
Was this article helpful?

Lasă un răspuns

Adresa ta de email nu va fi publicată. Câmpurile obligatorii sunt marcate cu *

Plantageneti